Дүрс оношлогоонд илрэх өөрчлөлтүүд
Гуурсан хоолойн тэлэгдэл нь хоёр талын юмуу тархмал эсвэл хэсэг газрынх байж болно. Хөгжингүй орнуудад тархмал гуурсан хоолойн тэлэгдэлийн хамгийн түгээмэл шалтгаан нь уйланхайт хатуурал (cystic fibrosis) байдаг. Гуурсан хоолойн хучуур эдийн бичил цэлмэнгүүд хөдөлгөөнгүй болох хамшинж ховор тохиолдолд гуурсан хоолойн тэлэгдэлийн шалтгаан болдог. Хэсэг газарт гуурсан хоолой тэлэгдэх нь бөглөрөл юмуу үхжилт пневмонийн улмаас бий болсон байж болно.
Цээжний рентгенд илрэх шинжүүд
- Ихэнхи тохиолдолд цээжний рентген хэвийн байна
- Гуурсан хоолой орчмын хатуурлын улмаас "вагоны зам" хэлбэрийн өөрчлөлт илрэх (янз бүрийн урттай параллель муруй шугамнууд)
- Өтгөн, нягт салсан бөглөөсөөс улбаатай гуурсан хоолойн талстууд
- Гуурсанцарууд (бронхиол)-ын тэлэгдлээс улбаатай уйланхай маягийн хөндий
- Дээрхи уйланхай маягийн хөндий дэхь хий-шингэний түвшин
- Хатуурал бүхий хэт агааржилт бүхий уушиг
- Уушигны талбайн гадна гуравны нэг хэсэгт үзэгдэхүйц гуурсан хоолойнууд харагдах
- Хана нь зузаарч, тэлэгдсэн гуурсан хоолойнууд
- Сигнетийн цагираг: тэлэгдсэн гуурсан хоолойн дэргэдэх артерийн судас юм
- Уйланхай маягийн хөндийнүүд
- Гуурс хэлбэрийн сүүдэржилт ба нягтрал ихтэй салаалалтууд
Цээжний рентген шинжилгээнд илрэх өөрчлөлтүүд
Гуурсан хоолойн талст
"Бээлийтэй хуруу"-ны шинж. Нягтрал ихтэй салаалалтууд харагдана. Өтгөн зуурамтгай салс гуурсан хоолойг дүүргэж хөөлгөсний улмаас энэ шинж илэрдэг.
Гуурсан хоолойн талст
"Бээлийтэй хуруу"-ны шинж. Нягтрал ихтэй салаалалтууд.
Гуурсан хоолой орчмын хатуурал бүхий хоёр талын олон тооны уйланхай төст хөндийнүүд
Уушигны уг дүүрсэн байдал (full hilum). Уйланхайт хатуурал бүхий өвчтөн.
Хоёр уушигны суурь хэсэгт байрласан олон тооны хий, шингэний түвшин бүхий хөндийнүүд
Гуурсан хоолойн тэлэгдэл.
СТ сканд илрэх өөрчлөлтүүд
Гуурсан хоолойн тэлэгдэл
- Сумаар доод дэлбэнд байрласан гуурсан хоолойн тэлэгдлүүдийг заажээ. Гуурсан хоолойнууд зузаан ханатай, тэлэгдсэн байна. Уушигны энэ түвшний зүслэгт хэвийн гуурсан хоолойнууд тодорхойлогдохгүй байна.
- Сумны үзүүрээр шохойжсон мөхлөгөнцөрийг заажээ.
Гуурсан хоолойн тэлэгдэл
- Сумны үзүүрээр баруун уушигны доод дэлбэнд байрлах гуурсан хоолойн тэлэгдэлийг заажээ.
- Тэлэгдсэн гуурсан хоолойн зэргэлдээ байрлаж буй артерийн судсыг анхаарна уу (Сигнетийн цагираг)
Гуурсан хоолойн тэлэгдэл
- А: Тэлэгдсэн гуурсан хоолойн зэргэлдээ байрлах артерийн судсыг анхаарна уу (Сигнетийн шинж)
- В: Сумны үзүүрээр баруун уушигны доод дэлбэн дэхь тэлэгдсэн, гуурс хэлбэрийн сүүдэржилтийг заажээ.
Гуурсан хоолойн тэлэгдэл
Гуурсан хоолой орчмын хатуурал бүхий тэлэгдсэн гуурсан хоолойнууд СТ сканы янз бүрийн зүслэгт уйланхай маягийн хөндий, гуурс хэлбэрийн сүүдэржилт, болон нягтрал ихтэй салаалалт байдлаар дүрслэгджээ.
Шалтгаан
Хөдөлгөөнгүй цэлмэнгийн хамшинж
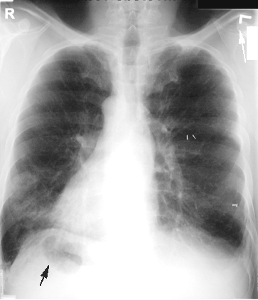
Баруун байрлалтай зүрх. Ходоодны хий баруун талд байрласан. Гуурсан хоолойн тэлэгдэлийн улмаас урьд өмнө хийлгэсэн лобэктомын үед тавьсан мэс заслын хавчаарууд. Энэхүү цээжний рентген зурагт гуурсан хоолойн тэлэгдэл танигдахгүй байна.
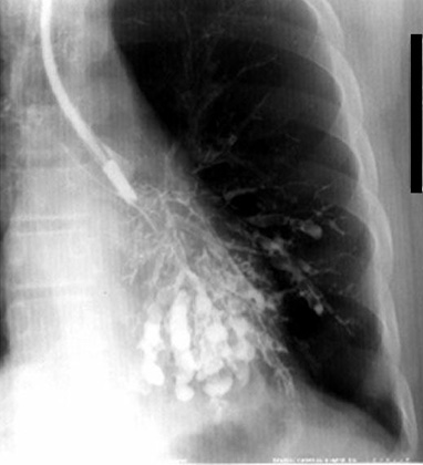
Хэсэг газрын уутанцар хэлбэрийн гуурсан хоолойн тэлэгдэл
Зүүн уушигны уг зүүн уушигны доод дэлбэн ателектаз болсны улмаас доош татагдсан байна. Зүрхний ард байрласан гуурс хэлбэрийн нягтрал (ялгаж харахад төвөгтэй ажээ). Бронхограммд уутанцар хэлбэрийн гуурсан хоолойн тэлэгдэл илэрсэн. Өнөө үед бронхограммын шинжилгээг ховор хийдэг болсон бөгөөд СТ сканаар онош тодруулах мэдээлэл авах боломжтой болжээ.
Бронхограмм
Зүүн уушигны доод дэлбэнгийн уутанцар хэлбэрийн гуурсан хоолойн тэлэгдэл.



















0 сэтгэгдэл:
Post a Comment
Таныг бидний энэхүү сайтад сэтгэгдэл үлдээж байгаад баярлалаа. Таны сэтгэгдэлд бид удахгүй хариу үлдээх болно.
Хүндэтгэсэн: imedinfo team